J Immunother Cancer | 上海药物所合作发现L-5-羟基色氨酸可抑制PD-L1诱导性表达发挥抗肿瘤效应

  PD-1/PD-L1免疫检查点疗法在临床肿瘤治疗中取得了令人瞩目的突破性进展,部分患者得到了长期生存获益,但其响应率仅10%~25%,且在使用后会出现获得性耐药问题。此外,因抗体类药物自身局限性所导致的剂量安全性和副作用等问题进一步限制了免疫检查点疗法在临床上的应用。基于内源代谢物具有安全性较佳、不良反应易监测、类药性高的优势,发现能抑制PD-L1表达并具有良好生物安全性的小分子代谢物,将为阻断PD-1/PD-L1信号并激活抗肿瘤免疫提供新的策略和思路。
  因此,中科院上海药物所罗成课题组联合重庆医科大学党永军课题组建立检测肿瘤细胞表面PD-L1表达的高通量流式筛选体系,对小分子代谢物库进行筛选,发现色氨酸代谢通路中的代谢物L-5-羟基色氨酸可抑制干扰素-γ(IFN-γ)诱导的PD-L1表达并激活T细胞抗肿瘤免疫反应而发挥抗肿瘤效应。该研究论文于2022年6月21日在线发表于Journal for Immunotherapy of Cancer
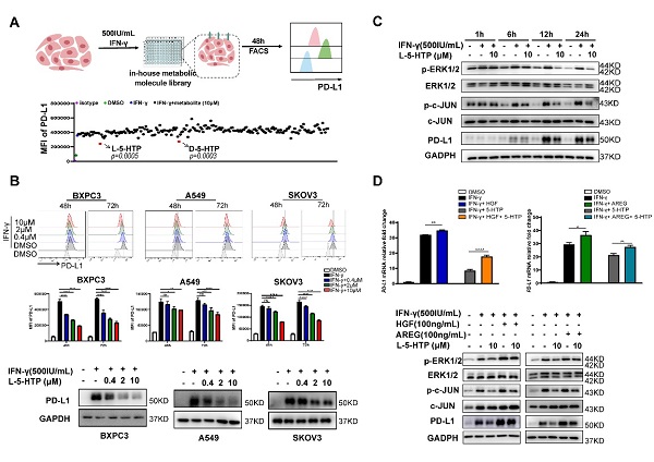
  在该研究中,团队基于高通量筛选发现L-5-羟基色氨酸可抑制IFN-γ诱导的PD-L1转录表达。通过对色氨酸代谢通路上L-5-羟基色氨可转化生成的其他代谢产物进行评价,发现它们均不影响IFN-γ诱导的PD-L1表达,表明L-5-羟基色氨酸通过自身调控PD-L1诱导性表达。结合转录组分析,进一步实验研究发现L-5-羟基色氨酸可下调IFN-γ诱导的受体酪氨酸激酶(receptor tyrosine kinase,RTK)配体的转录表达,进而阻断下游RTK受体/MEK/ERK/c-JUN信号通路的磷酸化级联转导,抑制IFN-γ诱导的PD-L1转录激活。
图1 L-5-羟基色氨酸抑制IFN-γ诱导的肿瘤细胞PD-L1表达。(A)基于肿瘤细胞表面PD-L1表达检测的高通量流式筛选体系;(B)流式和WB实验验证L-5-羟基色氨酸抑制IFN-γ诱导的PD-L1表达;(C)L-5-羟基色氨酸抑制IFN-γ诱导的MAPK信号通路激活;(D)回补RTK配体部分回复L-5-羟基色氨酸对PD-L1转录和对MAPK通路的抑制。
  在小鼠同系肿瘤模型上,腹腔注射100 mg/kg的L-5-羟基色氨酸降低瘤体内肿瘤细胞、树突状细胞以及巨噬细胞表面PD-L1表达,并具有显著且安全的抗肿瘤药效。通过比较L-5-羟基色氨酸在免疫完整和免疫缺陷小鼠上的药效,以及在Pd-l1野生型和敲除型肿瘤中的抗肿瘤药效,发现L-5-羟基色氨酸主要通过抑制肿瘤细胞PD-L1表达,增加肿瘤组织中的效应T细胞数量并活化效应T细胞,发挥显著的抗肿瘤效应。研究进一步评估了L-5-羟基色氨酸的临床转化意义,发现L-5-羟基色氨酸联用PD-1抗体具有更为显著的抗肿瘤作用。
图2 L-5-羟基色氨酸在体内发挥抗肿瘤效应。(A) L-5-羟基色氨酸在体内下调肿瘤细胞PD-L1表达;(B)L-5-羟基色氨酸提高瘤体内效应T细胞数量和活性;(C)L-5-羟基色氨酸延缓肿瘤生长、延长荷瘤小鼠生存时间;(D)L-5-羟基色氨酸联用PD-1抗体的抗肿瘤效应更为显著。
  L-5-羟基色氨酸在部分欧美国家作为膳食补充品用于缓解抑郁症状,鉴于肿瘤病人常伴有较高比例的抑郁并发症状,团队建立慢性社交障碍-肿瘤模型,在此基础开展药效评价,发现L-5-羟基色氨酸具有抗肿瘤和抗抑郁双重功效,提示L-5-羟基色氨酸在肿瘤免疫治疗中的独特优势。
  综上所述,该项研究揭示了L-5-羟基色氨酸抑制PD-L1表达激活抗肿瘤免疫的重要作用,揭示L-5-羟基色氨酸在肿瘤免疫治疗、特别是在伴随发生慢性社交障碍的肿瘤治疗中潜在的临床应用价值。
  上海药物所罗成研究员、张元元副研究员和重庆医科大学党永军教授为共同通讯作者;上海药物所博士研究生黄靖、复旦大学博士研究生王晓博、上海药物所硕士研究生李冰为共同第一作者。该研究工作得到了上海药物所陈凯先院士、蒋华良院士的支持。感谢上海药物所宫丽崑研究员以及复旦大学基础医学院俞瑾副教授对该研究在技术上的指导和帮助。该研究得到国家科技创新2030重大项目、基金委、上海市科委等项目的资助。
(供稿部门:罗成课题组)